Cabinet du Docteur Jean-Pierre Curiel
Implantologie - Parodontologie - Esthetique
Accueil
Le cabinet
Plan d'accès
Urgences
Fiches Conseils
Nos vidéos
PRENDRE RDV
Accueil
Le cabinet
Plan d'accès
Urgences
Fiches Conseils
Nos vidéos
PRENDRE RDV
Cabinet du Docteur Jean-Pierre Curiel
Implantologie - Parodontologie - Esthetique
54 Rue de Ponthieu
75008
Paris
+33 1 47 54 99 99
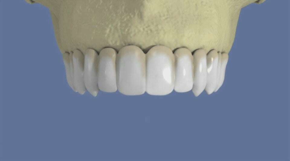
Maxillaire : bridge vissé sans fausse gencive
Vidéos 3D
Partager
Twitter
Partager
Partager
Envoyer
Copier
À la une
(3)
Informations pratiques
(9)
L'équipement du cabinet dentaire
(7)
L'orthodontie
(36)
Les choix esthétiques
(12)
Les dents chez l'adulte
(9)
Les dents de l’enfance à l’adolescence
(15)
Les dents et la santé
(22)
Les gencives
(23)
Les implants
(25)
Les pathologies bucco-dentaires
(29)
Les prothèses
(38)
Omnipratique
(210)
Prendre soin des dents
(21)
Cabinet du Docteur Jean-Pierre Curiel
54 Rue de Ponthieu
75008
Paris
+33 1 47 54 99 99
En savoir +
Politique de confidentialité et charte cookie
Mentions légales
Conditions Générales Utilisation
Charte déontologique
Ordre national
Annuaires chirurgiens dentistes
Accéder au cabinet
Création par
Connexion