Cabinet du Docteur Jean-Pierre Curiel
Implantologie - Parodontologie - Esthetique
Cabinet du Docteur Jean-Pierre Curiel
Implantologie - Parodontologie - Esthetique

54 Rue de Ponthieu
75008 Paris

Blog - Page 15

Le syndrome d'apnées obstructives du sommeil (saos)

Le syndrome d'apnées obstructives du sommeil (saos)

Les micro-réveils nocturnes peuvent être le signe d'une apnée du sommeil avec obstruction respiratoire. Si vous êtes concerné, consultez rapidement pour retrouver un sommeil serein !

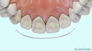
Fil de contention

Fil de contention

Conséquence de la perte des dents postérieures

Conséquence de la perte des dents postérieures

Protocole de dévitalisation d'une dent ou traitement endodontique

Protocole de dévitalisation d'une dent ou traitement endodontique

L'assistant(e) dentaire

L'assistant(e) dentaire

Le rôle de l’assistant(e) dentaire peut prendre différentes formes, selon la structure du cabinet et le contenu du poste tel que prévu au départ

À quel âge et comment les enfants doivent-ils se brosser les dents ?

À quel âge et comment les enfants doivent-ils se brosser les dents ?

Dès l’éruption des premières dents, l’enfant peut être sensibilisé au brossage des dents et ainsi adopter très tôt des réflexes utiles.

Affichage des articles 85-90 sur 230